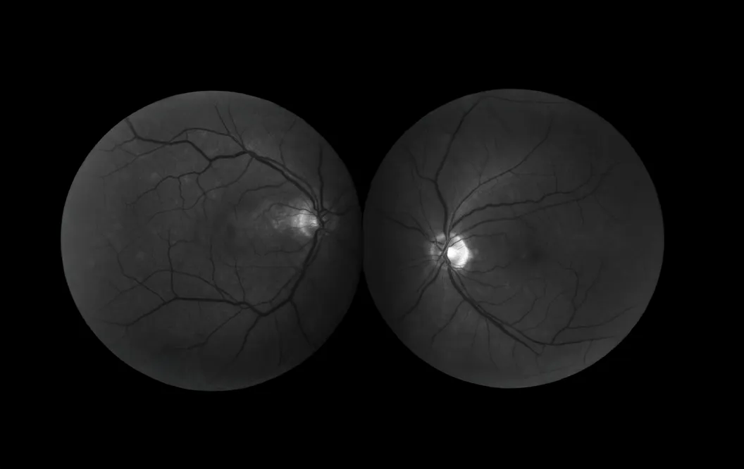
Fotografia de Retina ou Nervo Óptico com o uso de filtro para captura de imagens em preto e branco.

Diagnóstico e acompanhamento de doenças da Retina e Glaucoma.
• Retirar as lentes de contato antes do exame;
• Não suspender medicação em uso;
• Dilatação das pupilas se necessário;
• Aconselhável acompanhante por conta da dilatação;
• Sugerido uso de óculos escuros após exame para diminuir o desconforto com a claridade, caso haja dilatação das pupilas;
• Pedido médico obrigatório.
Do diagnóstico ao acompanhamento, tudo aqui.

Aceitamos os principais convênios e oferecemos condições especiais para particulares. Cuidar da visão não precisa ser burocrático.
Consulte nossa central para detalhes sobre carências e categorias aceitas.
Sabemos que lidar com convênios pode ser cansativo. Por isso, deixamos tudo pronto para sua chegada. Da consulta de rotina à cirurgia de catarata ou retina, nós orientamos você sobre documentos e prazos para um atendimento sem surpresas.









A IRIS, nossa assistente virtual, cuida de tudo para você!